ingyenes internet hozzáférés (wifi) Marianna Apartmanház Zalakaros

Marianna Apartmanház

Zalakaroson,
közel a gyógyfördőhőz

ingyenes internet hozzáférés (wifi) Dr. Muczer Marianna fogászati magánrendelés

Dr. Muczer Marianna

fogászati magánpraxis

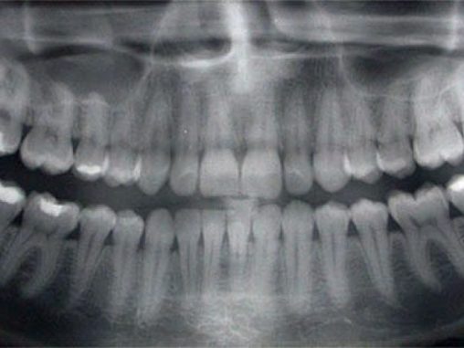
Diagnosztika és fémoldódásmérés

Fogászati röntgen: 3×4 cm-es kisröntgen

Panorámaröntgen: teljes fogazatról készít felvételt

Gyökércsatorna bemérés

Az elektromos gyökércsatorna bemérő és tágító műszer segítségével pontosabb, korrekt gyökértömés készíthető.

Az elektromos gyökércsatorna bemérő műszer gyárilag kalibrált; a gyökércsatornába vezetett gyökérkezelő tű csatornán belüli helyzetét mutatja, és miközben a tűvel haladunk lefelé, az feltágítja a csatornát, és eltávolítja a fertőzött szöveteket is. A megfelelő pozíció elérését (gyökércsúcs) diagrammal és hangjelzéssel jelzi, így könnyen és egyszerűen ellenőrizhető a gyökércsatorna hosszának meghatározása, amely egyik elengedhetetlen feltétele a jó gyökértömésnek.

A bemérő műszer működési alapja: a fog gyökérhártya és az orális nyálkahártya közötti elektromos ellenállás különbség konstans érték.

Előnyei közé tartozik még, hogy elkerülhető a röntgenfelvétel készítése, emiatt várandós kismamáknál is jól alkalmazható.

Röntgensugár terhelés nélkül a műszer segítségével a kezelt gyökér hossza bemérhető.

Fémoldódás vizsgálat (DMA meter)

Napjaink népbetegsége az allergia számtalan formában keseríti meg életünket. Tömegesen vagyunk allergiások különféle virágporokra, vadkenderre, de sokkal nagyobb veszélyt jelentenek a fogászatban használt fémötvözetek, amelyekből a fogpótlások, hidak, tömések készülnek. Ezek a fémek szájunkban kerülve a nyállal érintkezve egy akkumulátort (galvánelemet) hoznak létre. Az ötvözetek fő alkotóelemei (Ni, Cr, Co, Pd) allergénként szerepelhetnek, ha a szájban oldódva az ötvözetekről leváló fémionok a véráramon keresztül a szervezetbe jutnak. A tünetek rendkívül változatosak lehetnek. Sokszor a szájnyálkahártyára terjedő égő, csípő – vagy savanyú íz érzés jelentkezik. Az elváltozások lehetnek a szájüregen belül vagy annak közvetlen közelében. A szájüregen kívül a testen bárhol megjelenő bőrkiütések, ekcémás elváltozások és a hajhullás a leggyakoribbak. Egy magyar világszabadalom segítségével a nemzetközi fogorvosi gyakorlatban először nyílik lehetősége a fogorvosoknak egy új fogászati műszer (DMA meter) segítségével diagnosztizálni és prognosztizálni a már beépített, illetve beépítendő fogművek elektrokémiai állapotát.

 

Széchenyi 2020 ERFA